ライアン・コール 医師
米国アイダホの独立系医療診断研究所のディレクター
感染症の専門家で、10万を超える新型コロナのラボ検査を行ってきた。
ワクチンの接種が健康な人の人体に及ぼす影響を病理医が解説
米国の医師の団体 「 America's Frontline Doctors 」 は、団体の結成一周年を記念して White coat summit 2021 を開催した。
White coat summit 2021 の映像が Rumble 等の動画サイトに公開されている(この団体は、ワクチンの安全性に対する懸念を訴える活動を行っているため、Youtube上ではその映像が検閲されてしまう)。
その White coat summit において、医師団の一員であり、病理医である Ryan Cole 医師は、ワクチンが健康な人の脳などの器官に及ぼす影響を解説した。その様子は、17分間の映像としてRumble等に公開されている。
今回は、その一部に字幕を付けて取り上げてみようと思う。Youtube にもアップロードしてみたが、動画が消去される可能性が高いため Rumble にも置いておく。
その1: 病理医が、コロナワクチンが健康な心臓に何を及ぼすかを解説
これが心臓の炎症です。正常ではありません。
遺伝子注射を接種後、スパイクタンパクがそこに着地したのです。
皆さんの免疫システムが、
自分の組織を攻撃しているということです。
一度心臓にダメージを受けると、
心臓は自然には治りません。
その2:心筋炎が200倍増加している
心臓の細胞が損傷してしまえば、
その損傷は永遠に残るということなのです。
12才、5才、13才、18才の子供にも、
遺伝子注射を接種するというのであれば、
現在、私達の社会で心筋炎が約200倍も増加しているのが分かるでしょう。
それは良いアイディアだ。
子供に毒物を与えて、一生心臓を病むようにしよう。
私たちが何をしているのか、
立ち止まって考えてみてください。
狂気の沙汰です。
この狂気じみたことをすぐに止めなけばなりません。
これはもはやまともな科学ではありません。
これは私たちに対する毒攻撃であり、
今すぐ止めなければなりません。
その3:スパイクタンパク質は三角筋だけに留まるものではない
このスパイクタンパクは、
三角筋だけに留まるものではありません。
スパイクは血液中を循環して、
体内の複数の臓器に着地します。
そして、ウィルスの本体が存在しない状態で、
スパイクタンパクがどうなるかを知っていますよね?
動物実験を使った研究では、
このスパイクを注射しただけで、
コロナと同じように、スパイクが、
肺疾患、血管疾患、心臓疾患、脳疾患を引き起こすことが分かりました。
スパイクが毒素になっているんです。
なぜ我々は、その毒素を注射しようとしているのでしょうか?
毒素なんですよ、病気を起こすんです。
これはワクチンではありません。
その4:約1ヵ月前の記録では、これまでのところ、ワクチンの接種により45,000人の死者が発生している
約1ヵ月前の記録では、これまでのところ、
遺伝子注射の接種により 45,000人 の死者が発生しました。
今世界で行われているのは、
科学ではない。
メディカル ・ テクノクラシー(医療による政治)です。
恐怖 → 苦悩 → 遺伝子注射接種
それしかないんです。
その5:ワクチンは、血管の内側に並ぶ細胞に損傷を与える
遺伝子注射からのスパイクタンパクが、
皆さんの細胞のミトコンドリアに影響を及ぼしています。
細胞のミトコンドリアは、
皆さんの細胞のエンジンです。
それがエネルギーとなり、細胞の力となるのです。
これが吹き飛ばされて、断片化しています。
これが遺伝子注射による影響です。
その6:スパイクタンパク質は2〜3週間(またはそれ以上)循環する
スパイクが三角筋に留まっていますか?
そうではありません。
ハーバード大の研究では、13人の看護師で、
少なくとも2週間はスパイクが循環していることが示されました。
多くの人では、mRNAと呼ばれる、
RNAを分解する酵素が不足しています。
だから、さらに長い間、
スパイクが循環しているかもしれません。
だから、遺伝子注射を接種後、
長い期間が経過した後に亡くなったということを聞くのです。
だから、お分かりのように、
2週間でも、3週間でも、誰でも彼でも。
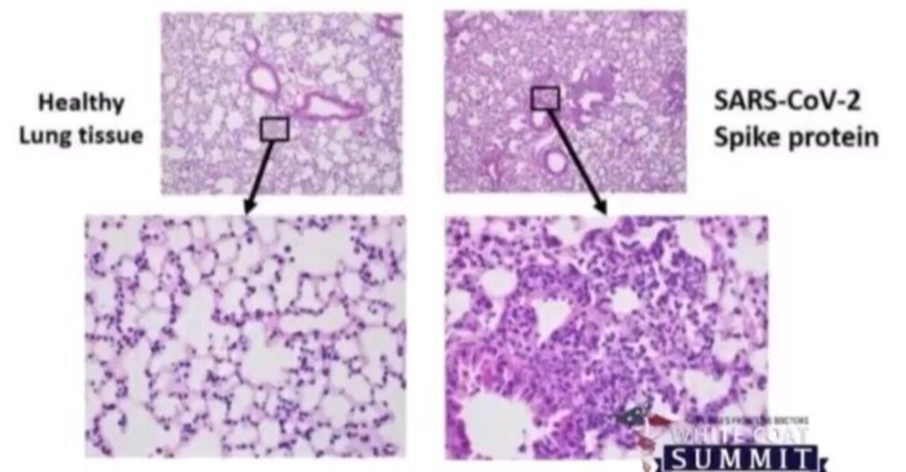
健康な肺の組織(左側)と、スパイクタンパク質により損傷を受けた組織(右側)とを比較すると、右側では、紫色が多くなっていることが分かる。これは、全部炎症である。免疫系が自分の体を攻撃することによって炎症反応が発生する。
1. 🇺🇸 pathologist looking at what covid shots can do to healthy hearts: inflammation #myocarditis #pericarditis ~ these are risks also for young people & children getting jabbed/taking the shots @TonyHinton2016 @DeanEggitt @drsamuelwhite_ @BreesAnna @JamesDelingpole @org_scp pic.twitter.com/YOiDaeFC10
— J.S.7.3 (@13orangesbc) August 10, 2021
スパイクは、毒素であり、血液脳関門(blood brain barrier)を通過するが、その際、脳の血管を破壊し、炎症を発生させる可能性がある。コロナ患者にブレインフォグ(brain fog)が発生すると言われているが、このブレインフォグはワクチンの接種者にも発生する。
1. 🇺🇸 pathologist looking at what covid shots can do to healthy hearts: inflammation #myocarditis #pericarditis ~ these are risks also for young people & children getting jabbed/taking the shots @TonyHinton2016 @DeanEggitt @drsamuelwhite_ @BreesAnna @JamesDelingpole @org_scp pic.twitter.com/YOiDaeFC10
— J.S.7.3 (@13orangesbc) August 10, 2021
スパイクタンパク質は、実際には、2~3週間でなく、5か月以上も体内を循環することが判明している。
Robert Malone has said you need to measure duration, distribution, and amount for the spike protein. FDA never did this; one of our researchers did. They found spike protein is still circulating 5 months from vaccination in 100% of patients tested (6 people; random pick). pic.twitter.com/RdL75ZqjId
— Vaccine Truth (@VaccineTruth2) July 26, 2021
この記事をUPしてから、
まだ2ヶ月しか経っていないのですね。(^^;...
この遺伝子注射の〝 悪質性 〟は日を追うごとに、
明確となってきました![]()
もう手遅れか?いや、既に情報が伝わって、
接種を踏み止まった人もいるだろう
が…
子供に打たせているのか…![]()
ひとまず、接種しないのが一番なので、
まだ接種してない人たちにお届けしたいと想います![]()
絶対打っちゃ駄目だよ!![]()
![]()




















