中国河南省鄭州の病院に
めまいや脱力感などを訴え入院した
2人の女性に
CTスキャンによる検査を行ったところ
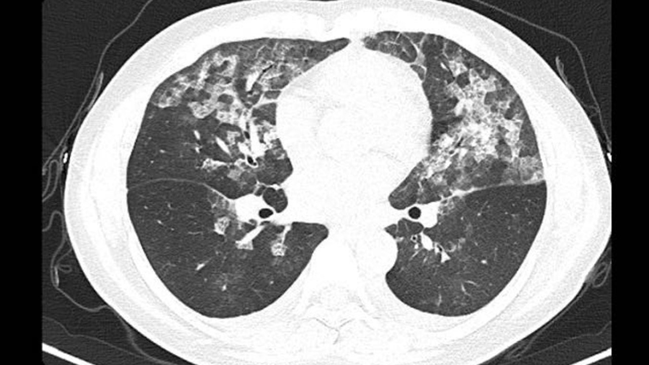
患者の「肺に白い影」が見つかったそうです。新型コロナ肺炎の特徴と一致
しかし
他の検査結果がコロナっぽくないので
医師が詳しく事情を聞いたところ
女性らは
新型コロナウイルスを恐れて
毎日
「84消毒液」という消毒剤を高濃度で
換気もせずに
家じゅうを消毒していたと判明次亜塩素酸ナトリウムを主要成分とするアレルギー性肺胞炎と診断されました。
中国ではスーパーなどで売られている一般的な商品
強迫とか不安ヒステリーと呼ばれるものが
病巣ですね。日本の心療内科に行けばこの女性ほどではないけど
発達障害と診断されそう💦
日本中消毒液だらけで
肺には悪いのでお肌もボロボロ…健康な人はマスクで充分だということそのためにマスクは必要かもしれません。
目にも注意(コンタクトはよくない)ということを
表現しておられます。
