健康な歯を抜かない非抜歯矯正治療法 -4ページ目

非抜歯矯正でキレイになりました 1

「中央区銀座の矯正歯科は銀座みゆき通りデンタルクリニック



お母さまより


すごく姿勢が良くなりましたね。


以前はすごく下を向いていた感じがありました。


けれど今はアゴが上を向いてきたのか上を向くようになりました。


きっと顎が元の位置に戻ったのでしょうね。




ご本人さま


毎日毎日鏡を見ていたけれど、自分では歯の動きなんて分かりませんでした。


周りから言われて動いているんだなぁと思いました。


だから治って良かったけれど、大変だった事が思い出の様に沢山あります。






「中央区銀座の矯正歯科は銀座みゆき通りデンタルクリニック




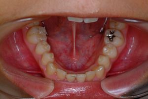
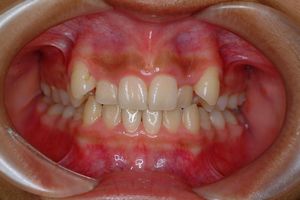
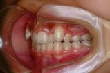
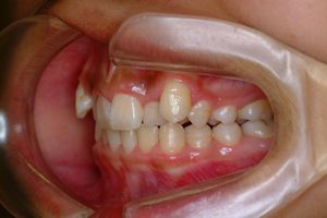
健康な小臼歯を抜いていません




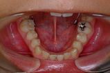
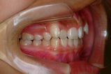
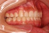
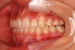
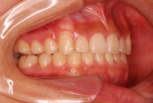
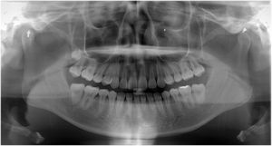
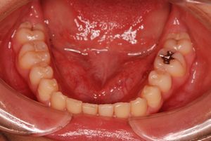
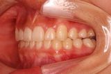
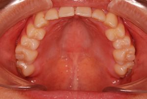
       矯正前                 矯正後
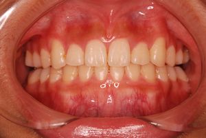
治療前 の 正面 です 動く矢印治療後 の 正面 です









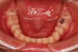
治療前 の 上アゴ です 動く矢印治療後 の 上アゴ です








治療前 の 下アゴ です 動く矢印治療後 の 下アゴ です








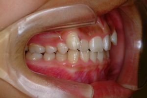
治療前 の 左 です 動く矢印治療後 の 左 です









治療前 の 右 です 動く矢印治療後 の 右 です









治療前 の レントゲン です 動く矢印治療後 の 歯列レントゲン です







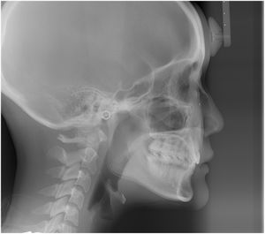
治療前 の 横顔レントゲン です 動く矢印治療後 の 横顔レントゲン です















「中央区銀座の矯正歯科は銀座みゆき通りデンタルクリニック


(感想文より)

ご本人さま


最初は歯の磨き方から始まって「これで本当に出た歯が戻るのかな」と心配でした。でも、段々進むにつれて不思議な道具が増えていき、戻りそうな予感はしてきました。不思議道具(主にワイヤーのゴム)の成果はとてつもない痛みとともに実感、と今は考えることが出来ます。その時はどうしようもなく痛んで精神的余裕はありませんでした。今は自他ともに「きれいに並んだ」と思えます。原型は分からない程に、痛かったのですが食べにくくて、喋りづらかったのですが、やって良かったと思います。リテーナーもあと少しなので頑張ろうと思います。ありがとうございました。



お母さまより


本当にいろいろとありがとうございました。説明にしても、とても分かりやすく安心して(本人も)治療に専念できました。本人もとても頑張ってゴムをつけて、アゴを鍛えていました。あの頑張りは、褒めてやりたいと思います。少しですが、姿勢も良くなった気がします。何よりも本人が治療して良かったと思っていることが、ありがたいです。スタッフの皆様にはまだ弟がこれからお願する所ですが、本当にどうもありがとうございました。今後とも宜しくお願いします。



「中央区銀座の矯正歯科は銀座みゆき通りデンタルクリニック