ブログ画像一覧を見る
このブログをフォローする
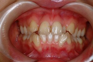
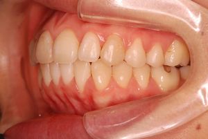
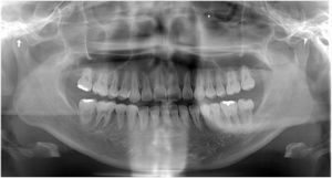
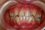
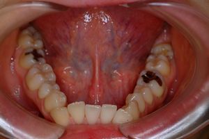
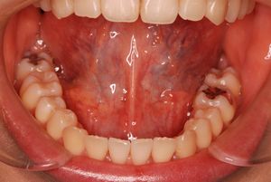
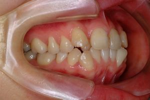
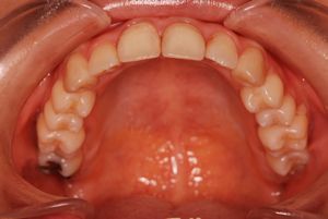
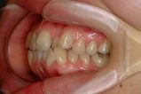
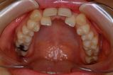
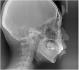
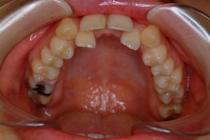
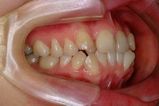
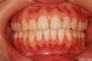
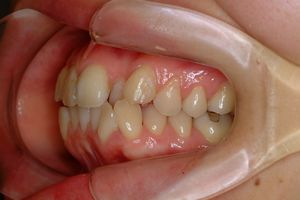
「中央区銀座の矯正歯科は銀座みゆき通りデンタルクリニック」 健康な小臼歯を抜いていません 矯正前 矯正後
「中央区銀座の矯正歯科は銀座みゆき通りデンタルクリニック」