「口元を短期間で、まとめてキレイにしたい」
「歯並びも歯の色も、同時に整えたい」
そんなご希望をお持ちで、カウンセリングに来院される方がとても多くいらっしゃいます![]()
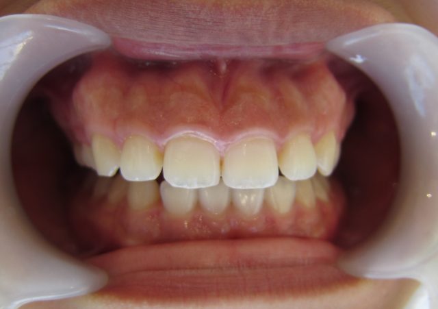
以前の治療で変色した詰め物や歯並び、歯のサイズなどをまとめてキレイに整えることが出来ます![]()
当院では素材にもこだわり、長期に渡って変色や変形・黒ずみを引き起こさない、オールセラミックの素材を使用しています![]()
歯の神経の処置も併せて行う場合には、土台にも金属やプラスチックを含まない、グラスファイバー製のファイバーポストコアを使用します。
長く美しい状態をキープしていただくために素材選びにこだわり、数ヶ月に1度のセラミックチェックのアフターケアも行います![]()
ご希望やお悩み、治療期間など、どんなことでもご相談ください。
例えば、お時間のない方にはご予約をまとめておさえたりすることが可能です。完全予約制なので、プライベートを重視される方には最適です
愛知県岡崎市の審美歯科
ティーススタジオ
☎︎0564-51-1766


