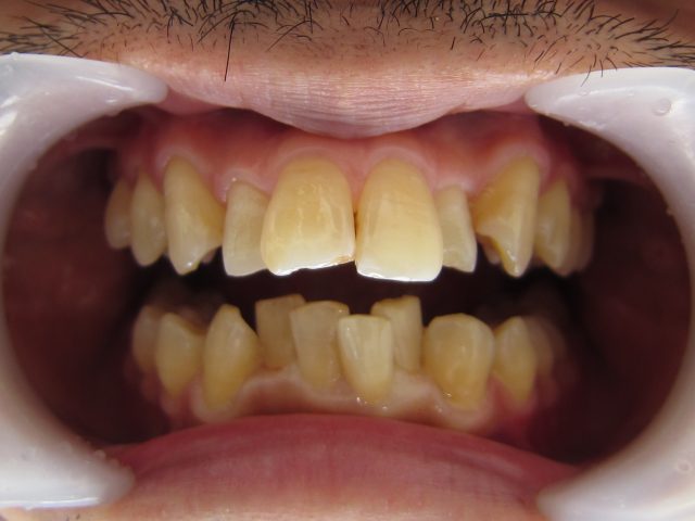
セレック治療セレック治療お口を開けた時キラッと見える銀歯気になりませんか?セレック治療なら銀歯からセラミックの白い歯に即日変えられます✊🏻✨️※虫歯の大きさ・歯ぐき・神経などの症状により、他の治療を優先して行う必要がある場合には、当日セレック治療が出来ない場合があります。愛知県岡崎市の審美歯科ティーススタジオ☎︎0564-51-1766審美歯科ティーススタジオ|インプラント|ホワイトニング|岡崎市の審美歯科クリニックです。インプラント治療、セラミック治療お任せください。審美歯科ティーススタジオは岡崎市JR岡崎駅徒歩4分のインプラント治療、ホワイトニング、セラミック治療の専門医院。最新の歯科機器で安心・安全な歯科治療をご提供します。teeth-studio.comLogin • InstagramWelcome back to Instagram. Sign in to check out what your friends, family & interests have been capturing & sharing around the world.www.instagram.comLogin • InstagramWelcome back to Instagram. Sign in to check out what your friends, family & interests have been capturing & sharing around the world.www.instagram.com
審美歯科ティーススタジオ|インプラント|ホワイトニング|岡崎市の審美歯科クリニックです。インプラント治療、セラミック治療お任せください。審美歯科ティーススタジオは岡崎市JR岡崎駅徒歩4分のインプラント治療、ホワイトニング、セラミック治療の専門医院。最新の歯科機器で安心・安全な歯科治療をご提供します。teeth-studio.com
Login • InstagramWelcome back to Instagram. Sign in to check out what your friends, family & interests have been capturing & sharing around the world.www.instagram.com
Login • InstagramWelcome back to Instagram. Sign in to check out what your friends, family & interests have been capturing & sharing around the world.www.instagram.com