ラミネートベニアですきっ歯を治す
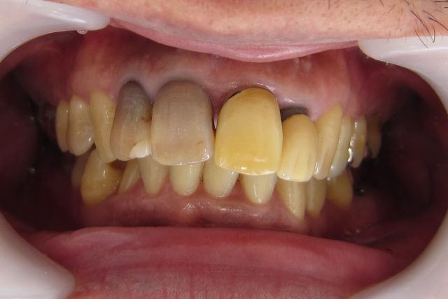
こちらの患者様、下の前歯のすき間が気になるとのことでご来院しました。
すきっ歯になる理由は、複数の要因が関与しています。
主な原因としては、顎と歯の大きさの不均衡や歯の欠如、遺伝的要因、習慣(指しゃぶりなど)による歯の移動が挙げられます。
この場合、顎と歯の大きさのバランスが合っていないため
歯と歯の間にすき間が出来てしまいました![]()
すきっ歯の改善には、ラミネートベニア治療がおすすめです
ラミネートベニアは
セラミックで作られた薄いベニアを歯に接着することで
歯の形や大きさを改善する治療法で、歯の隙間を自然に埋めることができます![]()
これにより隙間がなくなり、自然で整った歯並びが実現されます![]()
この治療法は比較的短期間で結果が得られ
最短で約2〜3回の治療で改善が期待できます![]()
愛知県岡崎市の審美歯科
ティーススタジオ
☎︎0564-51-1766
ホームページはこちらから💁♀️


