銀歯を白くしたい‼️
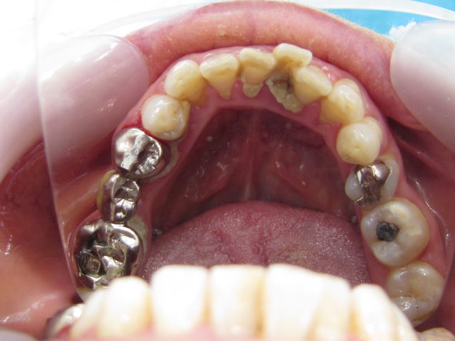
奥歯の銀歯を白くしたい!
見た目をキレイに、体に優しい治療方法のご紹介
特に下の奥歯は少し口を開けただけでも銀歯が見えてしまいます
鏡や写真で見た自分の銀歯が目立って気になったり、人からの口元への視線が気になってしまい、
自然な笑顔で笑えなくなっていませんか
銀歯を使い続けると歯ぐきと銀歯が触れ合いその歯肉の部分に色素沈着し
黒くなるデメリットがあります
また、金属イオンが溶け出すので突然金属アレルギーになることもあります。
最近は銀歯を白い歯に変えたいと思う人が増え、
実際に歯医者で銀歯を白い歯に変えている人が多くいます
セレック治療 の特徴
治療時間が大幅に短縮されます
3Dムービーによって、歯型を正確に採取、3D立体画像で被せ物を設計、
そしてミリングユニットがセラミック ブロックを自動切削し、
約10分で被せ物ができあがります。
従来の方法と比べて患者様の時間的、体力的負荷を大きく軽減します。
詳しくは当院までご相談ください
愛知県岡崎市の審美歯科
ティーススタジオ
☎︎0564-51-1766




