一般的に審美歯科とは、歯や口元の美しさに焦点を当てた歯科治療のことを指します。
歯科治療には「虫歯や歯周病を治す」「よく噛めるようにする」といった機能的な側面と、
「白く形のいい歯にする」「歯並びを整える」といった美観の側面があります。
この両方を満たす、美しさという観点をプラスした歯科治療が審美歯科治療です。
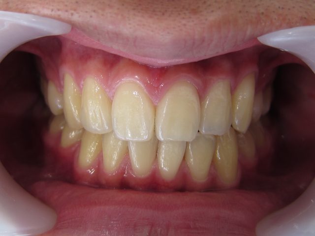
顔貌バランス
正中線を境に左右対称的かどうか。
上下の歯の中心揃うことで顔貌と口元のバランスが取れることになります。
唇とのバランス
笑顔での上の前歯の先端のラインと下口唇とのラインが相似形でスマイルラインが整っているかどうかを確認していきます。
歯茎
血色の良いピンク色で引き締まっていることが美しさの条件です。
歯と歯の間はシャープに引き締まり、空隙がないことも重要です。
「悪いところを治療」だけでなく
美しさの基準、お顔のバランスを考慮した、審美歯科治療を行っています。
料金もすべて自費治療と思われる方も多いですが、
保険で治療できる範囲は治療していき、自費など料金が高額になる部分は
その都度相談していくという形なので、
『この金額におさめたい』
『○○はしたくない』
など、ご希望がありましたら、おっしゃって下さい![]()
愛知県岡崎市の審美歯科
ティーススタジオ
☎0564-51-1766


