信用がないから。
政治だとか嫌韓だからとか
もっともらしい事を後付けしているけど
「口にするのが不安だから」が原因の第一位だと感じます。
更に
この業者は
>日本のバイヤーからは、「韓国産キムチの包装からハングル表記を外してほしい」といった注文があるという。
という、偽装まで行うつもり?
コレも
日本で作っているキムチ屋さんが声をあげて自浄作用しないと
日本産のキムチも売れなくなるよ。
韓国産キムチが日本で全く売れず→「包装からハングル表記をはずして」「日本人用に、改良したキムチを」
元記事
http://hosyusokuhou.jp/archives/36799732.html
日本で人気の高かった韓国産キムチが、反韓感情などのあおりを受け、売り上げが大きく落ち込んでいる。
千葉県・幕張メッセで3月4日から7日まで開催されているアジア最大級の食の専門展示会「FOODEX JAPAN」では苦境に立つ韓国のキムチメーカーらが日本向けに開発したキムチをPRした。複数の韓国メディアが報じた。
報道によると、韓国産キムチの対日輸出量は2012年に8460万ドル(約86億円)を記録したが13年は6590万ドル(約71億円)と22.2%も減少した。
韓国産キムチの売り上げが低迷しているのは、「3つの壁」が原因とされる。
第1の壁はアベノミクス。2012年末からの円安の急進により、日本のキムチ市場における韓国産キムチは競争力を落とした。
第2は味覚の違いで、日本人好みの「甘いキムチ」が日本のキムチ市場を占め始めたことで、韓国産キムチの需要は以前より減少した。
第3は日韓関係の悪化で、日本人の反韓感情の高まりにより韓国産キムチは敬遠されるようになった。
このような壁を乗り越えるため、韓国のキムチメーカーはさまざまな努力を重ねている。
例えば「ボンナリキムチ」は3年間の研究・開発を通じて玉ネギキムチを発売。
歯ごたえや味付けを日本人の好みに合わせた。日本人が見た目にこだわる点に注目し、ロール型に整えたキムチを開発したメーカーもある。しかし日本のバイヤーからは、「韓国産キムチの包装からハングル表記を外してほしい」といった注文があるという。
http://news.livedoor.com/article/detail/8602115/
千葉県・幕張メッセで3月4日から7日まで開催されているアジア最大級の食の専門展示会「FOODEX JAPAN」では苦境に立つ韓国のキムチメーカーらが日本向けに開発したキムチをPRした。複数の韓国メディアが報じた。
報道によると、韓国産キムチの対日輸出量は2012年に8460万ドル(約86億円)を記録したが13年は6590万ドル(約71億円)と22.2%も減少した。
韓国産キムチの売り上げが低迷しているのは、「3つの壁」が原因とされる。
第1の壁はアベノミクス。2012年末からの円安の急進により、日本のキムチ市場における韓国産キムチは競争力を落とした。
第2は味覚の違いで、日本人好みの「甘いキムチ」が日本のキムチ市場を占め始めたことで、韓国産キムチの需要は以前より減少した。
第3は日韓関係の悪化で、日本人の反韓感情の高まりにより韓国産キムチは敬遠されるようになった。
このような壁を乗り越えるため、韓国のキムチメーカーはさまざまな努力を重ねている。
例えば「ボンナリキムチ」は3年間の研究・開発を通じて玉ネギキムチを発売。
歯ごたえや味付けを日本人の好みに合わせた。日本人が見た目にこだわる点に注目し、ロール型に整えたキムチを開発したメーカーもある。しかし日本のバイヤーからは、「韓国産キムチの包装からハングル表記を外してほしい」といった注文があるという。
http://news.livedoor.com/article/detail/8602115/
>韓国産キムチの包装からハングル表記を外してほしい
食品偽装じゃねーか?
>日本のバイヤーからは「韓国産キムチの包装からハングル表記を外してほしい」といった注文があるという
外すなよ
区別できなくなるだろう
>韓国産キムチの包装からハングル表記を外してほしい むしろ韓国産のすべての商品にハングル表記を義務化して欲しいくらいだ
ハングル外しちゃ駄目でしょ、韓国産だと解りづらくなる。
コンビニで買ったアメリカっぽい装丁のチョコ菓子にさりげなくハングル書いてあって迷惑だった。
もっと目立つとこにドーンと描いとけよ、紛らわしい。
理由はひとつ「不衛生」
だれがあんな汚いもの買うか
国産ですら買うのに躊躇するようになった
日本製キムチもきむちの赤い汁は韓国からの
輸入がほとんど、つか日本では作ってないはず。
あの赤い汁の中に糞、唾、痰、小便、その他
もろもろが入り込んでる
(´Д`)yー~~~「国産表示」があってもなぁ…
材料の野菜が国産とは限らないし、その会社が在日企業とも限らない。
既に朝鮮漬け(キムチ)を口にしなくて10年以上になるなぁ…。
唾はかれてるって知って食べなくなったわ
ソース韓国産つば吐き込みキムチを召し上がれ♪
正直、日本の漬物の方が種類が豊富だし口に合うので、わざわざキムチを買う事はないな
あの中国が輸入禁止してる食品なんて怖くて食えるか
大腸菌が多くて中国から輸入禁止食らったのに、日本に輸出とは?
確か中国には衛生基準を満たさないから輸出出来ないんだってね、13年の中国への輸出はついに0だったとか。中国人も食べないものを・・・・
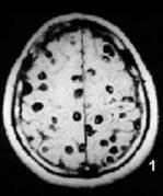
とある病院のブログより(脳に寄生虫が...(゚Д゚)ガクブル)
神奈川県在住、21歳女性。
韓国産のキムチ漬けを購入し常食していた。
1ヶ月前から感冒様症状があり、左上肢のしびれと右上肢の筋力低下を感じ来院。
頭部CTスキャンでは脳内に計1?2cmの腫瘤陰影が、血液検査では好酸球の増多が認められた。
このため、寄生虫症を疑って抗体検査を行ったところ有鉤条虫に対する反応が陽性であった。
韓国産のキムチ漬けを購入し常食していた。
1ヶ月前から感冒様症状があり、左上肢のしびれと右上肢の筋力低下を感じ来院。
頭部CTスキャンでは脳内に計1?2cmの腫瘤陰影が、血液検査では好酸球の増多が認められた。
このため、寄生虫症を疑って抗体検査を行ったところ有鉤条虫に対する反応が陽性であった。
ハングル怖い以前に寄生虫こわあ(´・ω・`)
タダでも食わねえ物を、金出して食う奴はいない。
キムチなんぞ無くても困らんしな