人が作成したデータの裏には様々な前提があることも忘れてはならないと思う。だから必ずしもチェルノ同様の5年後急激増大データの二の舞になるとはかぎらない。土壌は東京がチェルノの重汚染地帯ゴメリと同程度。福島はそれ以上。国民全体が目を背ける体質からすると、もうとっくに始まってる可能性大
実は主人の同僚の赤ちゃん二人が心臓疾患。新入社員50過ぎのお父様急死。東東京に住む私の友人が一昨年立て続けに2度の癌。同じく東東京の40代の知人女性が先日癌で急逝。息子の学友が鼻血で欠席。何でもホのせいにしたくはないのですが偶然が重なりすぎて@kotomam66
@Mistofelees1 私の周りにも、娘が骨折したり、40代ママ友が昨秋急死(脳梗塞?)、あと最近知人のそのまた知人(40代?)が急死されたらしい。
そういえば東東京に住む知人はよく風邪をひくらしいし飼ってるワンちゃん達も具合悪そうで。
…色々関連付けたくなりますね(ーー;)
のお宅などにうかがいました。2年前に東京で、二コア先生の話を聞き、2年ぶりに再会しました。ゴメリでは、空間線量が0.07μSV/hourです。しかし、チェルノブイリ事故の27年経った今でも、子供たちは、3週間の保養にヨーロッパに出かけています。数日の保養では駄目です。
??首都圏の土壌調査を主催された木下黄太さんによると、東葛地域の土壌汚染はゴメリ並み、東京23区も大人の危険水準より数倍高汚染、子供の危険水準より1桁以上高汚染とのこと。
チェルノブイリからの距離【キロメートル】 キエフ(ウクライナ)109。 ゴメリ(ベラルーシ)170 。ミンスク(ベラルーシ)328。 ブレスト(ベラルーシ)500。 4年後に白血病が増加して100万人が避難したのはベラルーシ共和国。福一から東京都心は 225
@inosenaoki 東京の放射能汚染はチェルノブイリのゴメリ市を上回りますが住民に症状が出るのが五年後からをご存じだと思います
pic.twitter.com/kjgkSnQKf1
ゴメリ市でも6年後に白血病死者が激増しました 四年目までほとんどない だから2016年問題なのです
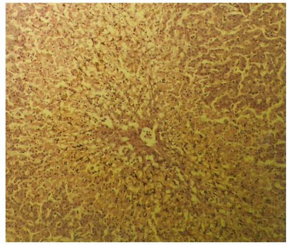
突然死したゴメリ住民の肝臓、セシウム濃度は142.4Bq/kg。肝臓の毒性形成異常は、代謝異常による細胞内のタンパク質の構造の崩壊を起こし、脂肪のような物質を生成するため、重篤な脂肪肝、肝硬変を引き起こす。
バンダジェフスキー東京講演 pic.twitter.com/ssmhWK9gsk
だけど東京の方が数値が高いんです。ゴメリよりも数値が高い。ここに座ってちゃダメなんですよ、放射能の上に→「ここが0.08マイクロシーベルト/hだったら、ここはりっぱなチェルノブイリなんです」野呂美加さん5/18(内容書き出し) kiikochan.blog136.fc2.com/blog-entry-300…
東京23区の汚染状態の確認。セシウム合算で平均1,006Bq/kgでキエフを越える汚染の可能性。 blog.goo.ne.jp/nagaikenji2007… キエフを越えてゴメリ並みの汚染という事は、ゴメリで起きたことが首都圏でも起きるという事。しかも今回爆発したのはMOX燃料・・・
一基が爆発し十日間で石棺に封じ込めたチェルノブイリ。四基爆発して一年以上経っても漏洩止められずメルトスルーした核燃料がどこにあるのかも分からず収束のめども全く立っていない福島。福島の事故は本当にチェルノブイリほどの事故ではないのだろうかpeg.gd/2Cs
10日で炉心急冷、半年で石棺を完成したチェルノブイリと、
3年経っても再臨界を恐れ、大量の汚染水を放出し続けるフクシマ。
どっちが史上最悪だ?
ソ連政府はどのように収束させたのか――福島原発震災 チェルノブイリの教訓(3)diamond.jp/articles/-/118…
バンダジェフスキー氏の調査では、心電図異常が少数だったのは体重1キログラムあたり5ベクレルまで
問題です。
あなたは1日何キログラムの物を体に取り入れてますか?
1日に2万回の呼吸で約20㎏の空気を大人も子供も体に取り入れてるのです。
被曝地から遠ざかりましょう!!
【拡散】Pegasus311 呼吸での吸入被曝が深刻 k2cyan 酷く放射能まみれの東京の空気(ウラニウム約3,000ベクレル/kg等)の恐怖】 bit.ly/17vGJgw
なんか・・・原発事故起こした人はしら~~っとしてて、それを気にして逃げようとする人は被曝防御する人が悪者になっているって空気、どうなのこれ。
すげーーな・・・ほんと戦時中だわ。お前だけ助かろうとするなよ、みんなで死ぬんだぞいいな!って意味合いの事呟いてる人いっぱいいるな
食べ物さえ、うまく避ければ、被曝は避けられると思いたい人たちが、やっぱり多いということを、痛感しています。特に首都圏に留まる ... 飲料からは8%に過ぎない私たちが一日に呼吸する空気は約20キロ食べ物や水の摂取量の およそ10倍 bit.ly/1gvWAdD
心筋梗塞の訃報ツィートが多いが、吸気被曝だろう。大人のわたしが、東京に一日出張しただけで、咳が止まらなくなった。マスクをしているのに。。。東京で暮らしたら、とても長生きはできまい。関西に帰ってくると、明らかに空気が異なる。咳も治まった。子供だけでも関西に逃がした方がいい。
そして内部被曝の大半は、呼気から。gogowest311.blog.fc2.com/blog-entry-13.… 「人が体内に取り入れる物質のうち、半分以上は室内空気57%。公共施設の空気12%。産業排気9%。外気5%。これらが吸気。足していくと8割を超えます。次が飲料8%。食物は7%。その他2%」
『放射線内部被曝』松井英介著 肺胞を広げると、成人ではテニスコート1面くらいの広さになります。つまり、肺は非常に広い面積で外界(環境)に接している臓器なのです。成人の普通の呼吸では1日に50メートル公認プールいっぱいほどの空気が肺に出入りします。
@minae_mi @Pikake414 若い人が脳出血なんてありえないことが頻発で驚きです。放射能問題を政府も地方行政も軽視し過ぎで怖いです。
学校として給食という毒物を与え続けるなら、登校を辞退したいと思います!
それから、福島や周辺汚染地帯の農家の皆さん、申し訳ないのですが、セシウム入り食材を流通させない為に、日本人の健康を守るために、自主的に農業を断念してください。
それぞれの有名人が、各自の経歴や出身、能力、見た目に合わせて、独自の仕事を展開するが、それぞれ「越えてはいけない線」と言うのがあって、自粛的にあるいは計画的にその線を越えないことで命をつないでいる。世界的脱原発女医K博士は広島入市被曝は否定した。火山の先生は首都圏を安全とした。
福島でコメ全袋検査…10秒ですべて不検出 blog.livedoor.jp/home_make-toar…
放射能検査は最低でも2時間かかりますが、10秒とは驚きすぎて言葉も出ない。
そんな検査って子供だましのトリックにすぎない。
そんな「放射能検査済ベクレル合格品」を食べますか?
その有名人の言動や人望が、本当に「搾取の帝王大金持ち達」の存在を脅かすほど民衆に知恵と勇気と力を与えてしまうのなら、いち早くその人は消されるだろう。芽が出る前に潰されるはずだ。世界を股にかけて飛行機を乗り継ぎ講演にやってこれる脱原発派は、生かしておいて役に立つから生かされている。
“戦争も原発も危険食物も殺人医療もそれらを操っているのは同じ人たちで、その中核に居るのが「銀行」です。
その信用創造の仕組みを理解できないと世界の真相は決して解りません”
銀行、お金の発行方法の不正のまとめ
blog.goo.ne.jp/misakilia/e/cd…
@liamisak_
Mistoffelees☆ @Mistofelees1
しほ @kotomam66
布施純郎 @Drponchi
?ペッコ @pecko178
cmk2wl @cmk2wl
アマちゃんだ @tokaiama
Chick インドラ天網の猫 @chicksmbox
きーこ @kiiko_chan
くろすけ @55kurosuke
KON(子どもを被爆から守れ!) @KON32722864
ハンニバル @sockskurogohan
不正選挙監視団 @rigged_election
ぴっち @nikapitch
Lightworker @Lightworker19
Fibrodysplasia @Fibrodysplasia
木葉功一 @kibakoichi
子ども守る @kind198698
えぬりす @yokorisu1
文鳥さん ぶんちょうさん @komatsunotsuma
Lia misaki∞ @lia_misaki