「両顎手術の副作用予防法」の総整理CBK整形外科
チェ·ボンギュン院長の論文集
最近まで患者だけでなく
医師の皆さんまでもが
「両顎手術というものは
副作用が100%生じる」
あるいは
「命をかけて
受けなければならない。」
このように思っている方が多いです。 ある患者は狎鴎亭(アップクジョン)
にある某整形外科に行ってみたら
両顎手術を受けると
上顎と下顎両方の感覚が
なくなってしまうと…
また、ある院長は
両顎手術は多くの犠牲を
覚悟しなければいけないと…???
今日は副作用の種類
及び、実際の発生頻度と予防法を
お教えします!
患者の方々だけでなく
医者の皆様にも
大きな助けになると
確信しています。
まず、最近
固定ピンの除去について
気になっている方が多いです。
下のリンクを
クリックしてください。
最初の副作用は
当然、下顎の感覚消失です。
上下に出てくる論文は
私が第1著者(赤丸)で
BRITISH JOURNAL OF ORAL AND MAXILLOFACIAL SURGERY
という国際学術誌(SCIジャーナル)に発表した論文です。
両顎手術後に
下顎感覚が落ちる原因である
下歯槽神経損傷を予防する手術方法
すなわち
MANUAL TWIST TECHNIQUE
に関する論文です。
출처: Is injury to the inferior alveolar nerve still comm on during orthognathic surgery? Manual twist techni que for sagittal split ramus osteotomy British Journal of Oral and Maxillofacial Surgery 56(1 0): 946-951, 2018
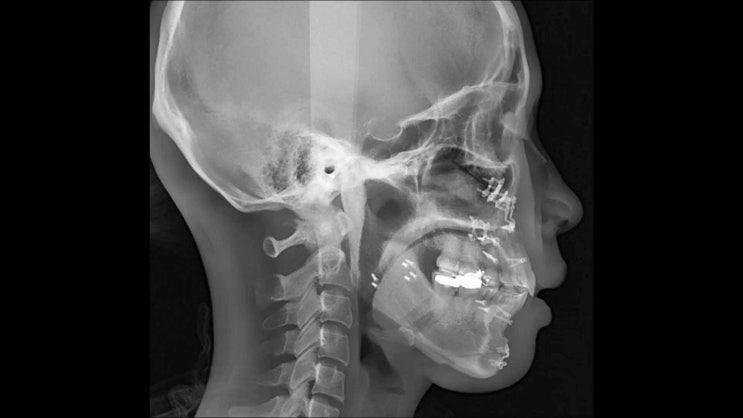
上の写真のように
MANUAL TWIST TECHNIQUEを
利用して両顎手術を行うと
下歯槽神経損傷という副作用を
予防できるという論文です。
この方法を見ると
簡単そうに見えますが
この方法を使用するために
あらかじめ
しなければならないことがあり
経験を多く必要とする
手術のテクニックが
前提にならなければなりません。
論文で詳しく紹介されていますので
医者の皆様は
必ず論文をご参照ください。
この新技術により
下歯槽神経損傷は
0.1%まで引き下げたという
内容の論文です。
これからは下歯槽神経損傷による
下顎の感覚消失を
心配せずに手術を受けてください。
次は生命に直接関わる出血です。
両顎手術の2番目の副作用は
出血です。
出血は命に直接関わるので
一番重要です。
出血を最小限に抑える方法を
提示した同論文は
私が第1著者で(赤丸)
「JOURNAL OF ORAL AND MAXILLOFACIAL SURGERY」という国際学術誌(SCIジャーナル)に
発表した論文です。
出血を最小限に抑える
私が提示した方法(テクニック)を
使えば
輸血をする必要がないという
内容です。
출처: Assessment of Blood Loss and Need for Transf usion During Bimaxillary Surgery With or Without Ma xillary Setback Journal of Oral and Maxillofacial Surgery 71(2): 358-3 65, 2013
上の表を見ると血色素値Hbが
手術種類によって
1.7もしくは2.3落ちるが
これは8年前に書いた論文で
最近測定した結果によると
平均1.0前後に落ちます。
ほとんど大きな出血は
ないと思ってください。
従って当然輸血も
必要ないでしょう!
出血や輸血に関する心配はせずに
手術を受けていただけます!!!
次は顔面神経麻痺(口眼歪斜)という
深刻な副作用です。
両顎手術の後
私の論文によると
0.1%から顔面麻痺
俗に言う口眼歪斜が起こる
となっています。
ちょうど私が台湾大蔵記念病院に
在職していた時に
教授の患者から発見して
大蔵記念病院で
その間発生した
全てのケースを集めて
顔面麻痺の原因を
明らかにして
予後を発表した論文です。
さらに顔面麻痺が生じる原因から
予防する方法まで提示しています。
출처: Facial Nerve Palsy After Sagittal Split Ramus 0 steotomy of the Mandible: Mechanism and Outcom es Journal of Oral and Maxillofacial Surgery 68(7): 1615- 1621,2010
とても大変な手術をしない
という限度内で申し上げますと
核心は上記にすべてあります。
つまり、上記の内容
(解剖学的に完璧な知識)さえ
持っていれば発生しません。
もちろん
それを予防するために
私が使っている方法もあります。
これからは顔面麻痺(口眼歪斜)
心配しないで
手術を受けてください。
次に、間違った診断によって
両顎手術の代わりに
エラ削り(下顎角骨切り術)を
受けた後
効果がなかったり
顔が長くなる逆効果で
両顎手術を受ける場合
下歯槽神経損傷による
下顎感覚消失に関する内容です。
これは本当に大きな問題ですㅠㅠㅠ
誤った診断で
両顎手術を受けるべき人が
輪郭手術を受けて効果がなかったり
または逆効果で顔が長くなったり
のっぺりとした顔になって
再手術して
最終的には私の所に来て
両顎手術を受けるケースが
だんだん増えています。
こういう場合
つまり顎の手術を一度受けると
手術部位が同じなので
両顎手術時に
下歯槽神経損傷頻度が
増えるという内容とともに
予防法を論文としてまとめました。
もちろん私が第1著者(赤い丸)としてPLASTIC AND RECONSTRUCTIVE SURGERYという
国際学術誌(SCIジャーナル)に
発表しました。
출처: The Influence of Reduction Mandibuloplasty Hi story on the Incidence of Inferior Alveolar Nerve Inju ry during Sagittal Split Osteotomy Plastic and Reconstructive Surgery 131(2): 231-237, 2013
これからエラ削りのような
輪郭手術を受けた後
両顎手術を再び行う時
下歯槽神経損傷による
下顎の感覚低下を心配せず
安心して手術を受けてください。
原因と予防法を
詳しく記述したので
医者の皆様は必ず
論文を探して読んでください^^
次は両顎手術のような
顎矯正手術の一つである
セットバック(突出口)手術の
副作用と予防できる
新しい手術法に関する論文です。
上の写真が
私が発表した新しい方法です。
このRASO
(ROTATIONAL ANTERIOR SEGMENTAL OSTE OTOMY)で
手術を受けると
法令線が深くなったり
口がしわしわになったり
老顔になったりしないので
安心してセットバック手術
受けてください^^
今日は両顎手術を
計画されている方々が
最も心配されている副作用
特に深刻な副作用について
私が発表した論文を基に
予防法まで説明しました。
世の中に副作用のない手術はなく
副作用なしで手術をする
医師もいません。
しかし、深刻な副作用と
致命的な副作用が
あってはなりません。
ぜひ、安心して両顎手術を
受けてください^^
![]()
![]()
![]()
![]()
![]()
![]()
![]()
![]()
![]()
![]()
![]()
![]()
![]()
![]()
![]()
![]()
![]()
![]()
![]()













