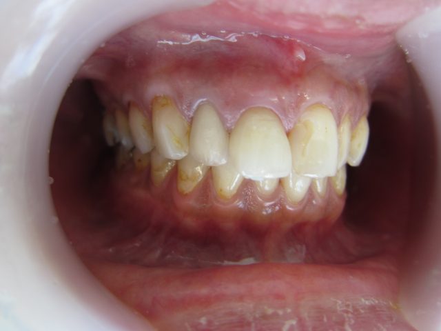
術前
上の前歯の先端が変色しており、歯並びも出っ歯のようになっています。
「歯の黄ばみ」「歯並び」は、見た目の美しさを損ない第一印象を左右する要因にもなるため、常に多くの人を悩ませています。
顔の中心に位置する〈口元〉が人に与える印象は、良くも悪くも大きなものだと言えるでしょう![]()
術後
ラミネートベニア合計8本で形と色を整えました。
歯の色を白く明るくした方は、歯だけでなく、お顔全体の印象もぐっと明るくはっきりして見えます![]()
白く整った歯は、黄ばんだ歯やガタガタした歯に比べて〈男女ともに平均3歳若く見える〉という驚きの結果が出ています![]()
歯の色や形が印象を左右するとなると、黄ばみ・歯並びを解消して綺麗な歯を手に入れたくなりませんか?
愛知県岡崎市の審美歯科
ティーススタジオ
☎0564-51-1766





