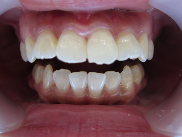
術前
前歯の歯並びを気にされての来院でした。
前歯の2本が重なり合っている状態です。
術後
歯並びが悪いと、整った歯並びと比べて歯ブラシが隅々まで届きにくく歯垢が残りがちに
なりやすいです。
特に歯が重なって生えている部分はブラシの毛先が届きにくいので磨き残しが多く
虫歯や歯周病のリスクが高いです。
《クリアオールセラミッククラウン》
リスクや副作用について
・保険適用外です。
・強い衝撃などでまれに割れたり欠けたりすることがあります。
料金:1歯120,000円(税別)※土台ファイバーポスト+10,000円(税別)
通院:通院2〜6回程度
治療5回~6回程度
愛知県岡崎市の審美歯科
ティーススタジオ
☎0564-51-1766
https://www.instagram.com/teeth_studio/



