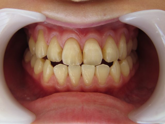
歯並びのお悩みの患者様です。
前歯が曲がって、隙間ができています。
術前
上下の歯が中に入り込んでいるので、大きさも小さくなっています。
また昔プラスチックで治療した歯の色が、茶色くなっています。
虫歯の治療として歯に「詰め物」をするのが一般的な治療法です。
詰め物の変色は素材が原因で起こります。
セラミックのような耐久性が期待できないため、時間とともに劣化して、変色や着色が起こりやすくなります。
気になる場合は、古いプラスチックを取り除いて、詰めなおす必要があります。
同じようにプラスチックで治すと、いずれ同じ状態に戻ってしまいます![]()
術後
セラミッククラウンで曲がった前歯の方向、形を変え、
上下で中に入り込んでいた歯並びを整え
保険で詰めたプラスチックの変色も解消することができました![]()
こんなお悩みはありませんか??
セラミック治療は値段が高そう
保険の範囲で入れた歯の変色が気になる。
歯並び・出っ歯・すきっ歯がコンプレックス。
忙しいので、治療に時間をかけたくない。
銀歯で金属アレルギーにならないか心配。
当院の無料カウンセリングで一度ご相談下さい![]()
患者さまのご希望を伺った上で、治療のご提案をします
☎・HP・Instagramからご予約可能です![]()
愛知県岡崎市の審美歯科
ティーススタジオ
☎0564-51-1766
治療情報・クリニック情報 随時更新中![]()
https://www.instagram.com/teeth_studio/




