愛知県岡崎市の審美歯科
ティーススタジオ
JR岡崎駅 徒歩4分
大型駐車場完備
☎︎0564-51-1766
当院人気のクリーニング
【プロフェッショナルクリーニング】
通常¥8,800のクリーニングが
お誕生日の月は なんと50%OFF

通常価格¥8,800
↓
半額の¥4,400で
▶︎歯石
▶︎コーヒー・紅茶・赤ワインなどの歯の着色
▶︎タバコのヤニ
▶︎歯ブラシが届きにくい歯と歯の間
▶︎インプラントや矯正装置など磨きにくいところ
もしっかり除去!!!
最後の仕上げに、汚れを付きにくくするコーティング付き![]()
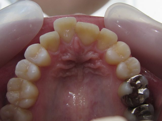
クリーニング前![]()
クリーニング後![]()
歯石や着色もとれてスッキリ![]()
誕生日月はお得にクリーニング![]()
スタッフに誕生日月であることをお伝えください![]()
色々な症例を連載中です
ご予約はお電話・LINE・DMこちらからも可能です![]()






