JOKERのブログ -7ページ目

JOKERのブログ

ブログの説明を入力します。

交通トラブルに言いがかりをつけ、ガソリンスタンドの店員らの顔を殴ったとして、兵庫県警三田署は23日、傷害容疑で大阪市西区の元プロボクシングWBC世界スーパーフライ級チャンピオン、徳山昌守容疑者(38)=本名・洪昌守(ホン・チャンス)=を逮捕した。「悪いことをした」と容疑を認めているという。



 逮捕容疑は22日午後6時15分ごろ、兵庫県三田市内の路上で、ガソリンスタンドから出てきた車と交通トラブルになり、車を誘導したガソリンスタンド所長の男性(53)と車を運転していた男性会社員(24)の顔を殴ったり、頭突きをするなどし、2人に軽傷を負わせたとしている。

 同署によると、徳山容疑者は買い物帰りで車を運転しており、「急ブレーキをかけて後部座席にいた子供が、前のシートにぶつかりカッとなった」と供述しているという。

 徳山容疑者は元プロボクサーで、同級のタイトルを2度獲得。引退後は大阪市東成区のJR鶴橋駅前で焼き肉店を開いている。



これ自体非常に問題があることだが、事の本質は他にある。


実は在日含む朝鮮人の犯罪(特に性犯罪)が非常に多く、今回は


たまたま犯人が有名人だったため


大きく報道で取り上げられたが、実は新聞に載らない朝鮮人の強姦


や強盗事件が多発している。


そりゃアメリカやインドも負けず劣らず卑劣な犯罪が多発しているが、


いずれも本国の中でのことで


(沖縄の米軍事件は別ですが)日本に来て悪事を働くのは中国と


朝鮮が圧倒的に多い。


そもそもこのブログを始めたきっかけも、朝鮮人の強姦事件から、


日本の女性に情報共有し少しでも


被害防止に役立てていただきたいという思いからである。



「だいたい拳を職業=プロとして使う人が一般人に暴力を上げるなどあり得ない」


というのは日本=侍魂だけの話であって、朝鮮や中国には通用しないことである。


それ自体はそういう脳の仕組みだからそれでいい。しかしそういうことはどうぞ自分の国でやって下さい。ということだ。

韓国産キムチから寄生虫の卵、野良犬の糞が見つかる 日本へも輸出 大久保もキケン!?
http://blogimg.goo.ne.jp/user_image/46/3c/c16bf13e4c389fd64c59f51f91a81fb0.jpg
http://blogimg.goo.ne.jp/user_image/69/24/8f63653df561b702d1ae2285a77ac977.jpg

今度はキムチからネズミ、半年で異物混入事故307件発生
http://news.searchina.ne.jp/disp.cgi?y=2010&d=0821&f=national_0821_124.shtml

学校給食のキムチからカエル、生産過程で混入か=韓国
http://news.nifty.com/cs/world/worldalldetail/sech-20110602-20110602_00028/1.htm

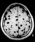
キムチの寄生虫、有鉤条虫(ゆうこうじょうちゅう)に巣食われた脳
melto187.jpg
【事例】
神奈川県在住、21歳女性。焼き肉が好きでよく食べるが、生肉は食べない。
キムチが好きで、韓国産のキムチ漬けを購入し常食していた。
1ヶ月前から感冒様症状があり、左上肢のしびれと右上肢の筋力低下を感じ来院。
頭部CTスキャンでは脳内に計1~2cmの腫瘤陰影が、血液検査では好酸球の増多が認められた。
このため、寄生虫症を疑って抗体検査を行ったところ有鉤条虫に対する反応が陽性であった。

【感染リスク】
感染源としては、ヒトの糞便に出現する虫卵と豚肉内の幼虫の2種が考えられる。
前者は 虫のみの感染であるのに対し、後者は有鉤条虫の感染を伴う。
上記事例は前者の可能性が濃厚で、輸入キムチが有鉤条虫に汚染されていた可能性が疑われたが確証は得られなかった。予防法は食品の加熱処理。

【症状と診断】
幼虫が寄生する部位により、皮下腫瘤、石灰化(最も多い症状で、皮下あるいは筋肉内の寄生)、
痙攣、頭痛、めまい、運動麻痺(脳内寄生)、視力障害、嘔吐、失明(眼球内寄生)などの症状が出現する。

ちょうせん人が多数帰化して議員になった民主党によって、この危険な非加熱キムチがなんと衛生検査が3年間免除で日本に輸入されていることを知らない人が多い。
マスコミに乗せられて「韓国料理」がトレンドだと勘違いさせられている人もいるのではないだろうか?

melto188.jpg
ネットには日本人輸出向けキムチに丹念に唾を練りこむ韓国人として紹介されていた。

melto189.jpg
犬猫の回虫の卵や野良犬の糞が混入したといわれる韓国キムチに関する報道。

フランスがキムチを「有毒食品」に認定